DEKA激光-经典耳鼻喉激光手术献礼 第八期-李仕晟教授:咽喉视频内镜下光纤激光治疗术

发布时间:2023-07-19 12:29:03 浏览次数:7461

专家介绍 

第八期《DEKA经典耳鼻喉激光手术献礼》我们很荣幸的请到了来自中南大学湘雅二医院耳鼻咽喉头颈外科主任李仕晟教授与我们分享关于咽喉视频内镜下光纤激光治疗术的经验与分享。

图片

图片

中国医师协会睡眠医学专业委员会委员,中国医师协会耳鼻咽喉头颈外科分会委员,湖南省医学会耳鼻咽喉头颈外科分会委员,湖南省医学会耳鼻咽喉头颈外科分会委员青年委员会副主任委员,湖南省医学会耳鼻咽喉头颈外科分会头颈学组委员兼秘书,湖南省医学会睡眠医学专业委员会青年学组委员,湖南省中西医结合学会变态反应学组青年学组主任委员,中国医促会睡眠科学分会委员,中国老年学和老年医学学会睡眠科学分会委员,中国抗衰老促进会交叉学科专业委员会委员,中华耳鼻咽喉头颈外科杂志审稿人。

疾病介绍-下咽癌

鳞状细胞癌是下咽部最常见的恶性肿瘤,其次为源于小涎腺的腺癌,有时还可见黑色素瘤和软组织体细胞瘤,偶可见转移肿瘤。梨状窝是下咽癌最常见的发病部位。下咽原发恶性肿瘤的分期与局部扩散和向周边结构侵犯的情况有关。下咽癌小的的原发肿瘤早期很少有症状,也很难诊断,因此在做出诊断时下咽肿瘤常已经较大,侵犯了周边。由于下咽周边毗邻的结构,包括喉,舌,口咽,食管等,下咽肿瘤发现时常累计其他结构,导致功能受损。另外下咽部淋巴系统丰富,常常在病程早期已出现区域淋巴结转移。因此,大多数原发下咽癌患者在确诊和治疗时已属晚期。

图片

手术治疗原则和目的

下咽癌最终治疗目的是控制肿瘤,但如果条件许可,另一方面的目的是保留患者的言语、吞咽功能以及避免永久气管造瘘。由于下咽周边毗邻的结构,包括喉,舌,口咽,食管等,根治性手术常可能伴有相应的功能损失。目前,下咽癌的标准治疗方法为:切除原发灶,根据颈部淋巴结的情况决定是否采用颈清扫术,根据原发灶分期及颈部淋巴结的情况决定是否采用颈淋巴结清扫术及术后放化疗。另一方面,对于本来需要行全喉切除的下咽癌患者,多采用保留喉功能的治疗方案如术前行新辅助化疗使肿瘤降阶达到功能性手术的目的,或采用放化疗同步。

传统手术治疗

下咽癌传统手术方式主要为开放性手术,必要时需行喉部分切除、全喉切除、全食管切除并一期行组织瓣修复,对患者手术创伤较大,且伴有言语,吞咽功能的损伤。下咽癌的内镜手术可以减少手术创伤、避免气管切开,并最大程度保留患者喉功能及吞咽功能。对于分期较晚的患者术后可以真正快速康复,尽早进行后续的辅助治疗。但下咽癌的内镜手术因为手术术野暴露困难,内镜下解剖不熟悉,常常开展的技术难度较大。湘雅二医院耳鼻咽喉头颈外科李仕晟教授团队探讨了咽喉视频内镜结合光纤激光进行下咽癌治疗。

图片


病例分享-下咽癌

咽喉视频内镜下光纤激光治疗术

中南大学湘雅二医院耳鼻咽喉头颈外科

李仕晟教授团队


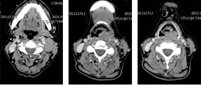
患者:卢XX,男,56岁

现病史:患者6月前无明显诱因出现左侧颈部肿物,直径约6cm,无咽喉不适,我院门诊电子喉镜示“左侧下咽新生物”。纤维喉镜下活检示低分化鳞癌。患者接受TPF化疗方案3个疗程,下咽部及颈部肿物无明显改变。

既往:高血压病史8年,规律服药。

个人史:饮酒及抽烟30余年。

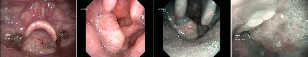
体格检查:颈部可扪及约5*7cm大小包块,间接喉镜示左侧梨状窝可见菜花样新生物,左侧声带活动欠佳。

电子喉镜显示:左侧梨状窝内侧壁肿物,累计梨状窝尖。

图片

术前诊断

1、下咽癌    2、高血压病。

可行方案

1、开放式喉下咽部分或全切+淋巴结清扫术+必要时皮瓣修复。

2、内镜下激光或等离子下咽肿瘤切除术+颈淋巴结清扫术。

3、放化疗同步。

拟行方案(充分术前沟通)

咽喉视频内镜联合光纤激光+颈淋巴结清扫术。

关于咽喉视频内镜下光纤激光治疗下咽恶性肿瘤浅析—李仕晟

*优势

1、咽喉视频内镜下的宏观视野更为清晰、宽广;

2、能够更好的在手术过程中把握间隙、层次及边界;

3、操作更为方便,止血更为精准;

4、对于神经功能的保护更有优势;

5、术后恢复,上皮化较其他方式如电刀等更有优势;

6、对比等离子操作边界把控更为精细,间隙解剖更为精准;

7、相对其他热兵器,如电刀、等离子更有利于在切割处短时间高温凝闭血管淋巴管,减少远处散播。

图片

*不足

1、对于大血管的出血仍需等离子配合使用;

2、激光手术中烟雾的清除较等离子差;

3、咽喉视频内镜无法适配CO2激光操作,需要DIY手柄结合光纤激光

图片

980nm Diode光纤原本的认识只在耳硬化症手术的激光镫骨底板“一枪成型”术上呈现出“快、准、简、好”等革命性优势。

如今应用到下咽病损肿物切除上,体验感觉并不是单纯对CO2激光的性能补充,而是拥有另外一种功能特性的激光刀的应用。与CO2激光光纤在血供丰富区域切割相比,不会因为出血而导致切不动,而且可弯曲角度更大,最小弯曲半径达到36mm,很好地在角度内镜配合下清除藏匿在较深部位的病损;0.3mm的刀头直径,切缘及安全缘的选择判断更加准确安全;可以配合不同光纤器械对或深或浅的腔内不同部位病损肿物进行精准切除,而且术后黏膜上皮恢复更好更快。

图片