DEKA激光-经典耳鼻喉激光手术献礼 第十期-任晓勇教授:激光行下咽癌喉功能保全切除术

发布时间:2023-07-19 15:07:26 浏览次数:11620

专家介绍

第十期《DEKA经典耳鼻喉激光手术献礼》我们很荣幸的请到了来自西安交通大学第二附属医院耳鼻咽喉头颈外科任晓勇教授与我们分享关于激光行下咽癌喉功能保全切除术。

图片

图片

中华医学会耳鼻咽喉头颈外科分会委员,咽喉嗓音学组委员

中国医师协会耳鼻咽喉头颈外科分会委员,头颈肿瘤学组委员

中国医师协会睡眠专业委员会委员

中国医师协会睡眠专业委员会耳鼻咽喉头颈外科学组副组长

陕西省抗癌协会头颈肿瘤专业委员会主任委员

陕西省医师协会睡眠专业委员会主任委员

病症介绍

下咽癌(hypopharyngeal carcinoma)是一种具有较强侵袭性的恶性肿瘤,因其早期症状不典型,大多数患者就诊已处于中晚期,预后较差。下咽癌的手术方式包括开放手术和微创手术。由于传统的开放性手术治疗方式严重影响患者生存质量,近年来如何早期发现肿瘤,在彻底切除肿瘤、减少复发的同时,尽可能保全喉功能并提高生存质量一直是临床医生的探索方向。在局早期下咽癌的手术治疗中,经口CO2激光微创手术的优越性日益显著。

图片

疾病特点及治疗策略

下咽解剖位置特殊,邻近喉、食管,传统的手术治疗方式会严重影响患者的呼吸、吞咽、发声等生理功能,严重影响其生活质量。

下咽癌的手术治疗有多种不同的方式,包括经口微创手术和传统开放手术,伴颈淋巴结转移的患者还包括单侧或双侧的颈部清扫以及术后的放化疗。对下咽癌依据临床分型慎重选择病灶切除的术式及颈清扫方式,包括术前诱导化疗及术后辅助放化疗的综合治疗是目前临床治疗的主要策略。

随着激光、内镜等器械不断改进,对于T1及T2期下咽癌,手术治疗方法逐渐由开放性手术转变为在无瘤前提下的微创手术方式。此种手术方式对患者创伤较轻、生活质量影响轻微。


病例分享

西安交通大学第二附属医院

任晓勇教授团队


患者:男性,49岁,自由职业者。

主诉:间断咽喉部疼痛2个月;

现病史:2个月前因间断咽喉部疼痛,保守治疗无效,近1周咽部疼痛逐渐加重,出现吞咽不利,于外院行喉镜检查提示左侧梨状窝肿物,左侧声带活动可,并取活检提示“鳞状细胞癌”。

既往史无特殊。

个人史:吸烟史40年,约20支/天,偶有饮酒。

图片

术前电子喉镜检查(病变局限在梨状窝内侧壁和前壁)

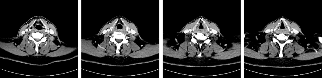
图片

术前颈部增强CT检查(左侧梨状窝较右侧稍浅,左侧颈部多发肿大淋巴结伴强化)


诊断下咽恶性肿瘤(T1N2M0)

手术内镜下CO2激光左侧梨状窝癌切除术+左侧II-IV区淋巴结清扫术

手术步骤:

1、经口插管实施全身麻醉,麻醉插管选用内径为6.0cm;机械通气采用低氧(氧浓度<50%) 模式。

2、支撑显微喉镜下充分暴露,显示肿瘤边界,在声门下麻醉插管气囊上放置湿盐水纱布保护气囊,调整CO2激光输出模式3.5w,光斑直径为0.2mm。在术中保留1cm的安全缘,切除梨状窝的内侧壁及前壁,外侧壁及后壁。可见切除至正常肌肉组织,并送切缘。

3、常规行左侧侧颈II-IV区淋巴结清扫,未累及喉,避免了气管切开。术后留置胃管。

术后病理(T1pN2bM0)

送检“左侧梨状窝切除肿物”,镜下可见癌组织,肿瘤细胞核增大,部分肿瘤细胞坏死,周围可见淋巴细胞、浆细胞浸润,前、后、内、外、基底各切缘未见癌组织;

左颈II区淋巴结(1/12)、左颈III区淋巴结(1/7)癌转移;

上、下、内外切缘、基底、左IV区淋巴结(2枚)均未见癌组织。

免疫:EGFR(3+)、P53(-)、P16(-)、Ki67(+)10%

术后联合放疗

图片

术后一年复查

激光切除下咽恶性肿瘤浅析

1、术前评估病变范围尤为关键。可借助高清电子喉镜、NBI内镜及增强CT对病变范围进行详细评估,全面了解病变的粘膜范围及粘膜下的侵及深度,为术中切除深度提供预判。

2、选择合适型号的支撑喉镜对病变进行暴露是保证病变完整切除的关键,术中需根据病变范围变换支撑喉镜位置,保证安全边界的清晰暴露。

3、微创手术依然必须遵循肿瘤切除的“one- block”原则来进行。对恶性肿瘤患者来讲,高生存率是主要的治疗目标,在此基础上才可追求功能的保全。

4、CO2激光具有良好而精准的切割效果,应用于能够充分暴露病变的下咽恶性肿瘤的微创治疗,术后瘢痕轻微,是有益的治疗方式。术中需注意辨别解剖层次及毗邻,注意重要结构的保护。

激光小课堂

图片

无热损UP极脉冲二氧化碳激光激发模式利用迅时高峰值功率实现精准而锋利的组织切割同时,其严格的热弛豫控制效果能使得对切缘组织热效应几乎为零。从活体动物咽喉黏膜组织实验数据证明,受热效应影响越小的黏膜组织创面,其再生速度越快,形成瘢痕的概率越低。这对于嗓音外科有非常重要的意义,同时对于喉狭窄扩张术后防止再次粘连都有非常重要的意义。

图片

DEKA激光智能款提供了多种线性选择供医生完成高难度激光手术

图片